- ホーム
- 初めての方へ
原因を追及し再発を防ぐ、
お口の生涯の健康を支える
玉野市の歯医者
岡山市南区灘崎・藤田にも近い玉野市の歯医者 竹北歯科・矯正歯科クリニックでは、
口腔領域の生涯にわたるサポートを目指しています。
一本の歯の疾患でも一口腔と考え、問題が起きる原因を追求して再発しにくい治療を行うために
予約制で一人ひとりにきちんとお時間を確保し、カウンセリングでお話をじっくり伺うことを大切にしています。
Notice
当院の診療
システムについて
玉野市の歯医者 竹北歯科・矯正歯科クリニックでは、初診でいきなり治療をすることはありません。
現在のお口の状態やお困りの部分をきちんと検査し、原因・問題点を解決するために、初日は主に検査(+応急処置)となります。
- 初診時に行うこと
-
- カウンセ
リング - レントゲン
撮影など検査 - 診査(必要に応じて
応急処置)
- カウンセ
Reservation
ご予約について
当院は『原則予約制』となっております
急患の方にもできるだけ対応いたしますが、予約の方が優先となりますのでご了承ください。
ご予約のキャンセル・
変更時のお願い
- 予約変更される場合は、1〜2日前までにご連絡を頂きますようお願いいたします。
- ご予約時間に間に合わない場合もご連絡をお願いいたします。
- 予約時間を過ぎてもご連絡がない場合は、確認のお電話をさせて頂くことがあります。
- ご予約・お問い合わせ
- 0863-31-0310
- 月〜金 9:00-12:30/14:00-18:00
- 土 9:00-16:30
- 水曜午後・日曜・祝日 休診
- ※受付は診療時間終了の15分前まで(お電話は受付時間内のみ対応いたします)

当院は『アプリ診察券』を
導入しています
- 二次元バーコードを
かざして
受付完了 - 自動精算機にかざす
だけで
簡単お会計 - 予約状況を
確認できる
- ※ご来院の際は、マイナ保険証または資格確認書もあわせてお持ちください
- ※予約、予約の変更やキャンセルは、お電話でのみ受け付けています

Process
当院の治療の流れ
-

初診カウンセリング
玉野市の歯医者 竹北歯科・矯正歯科クリニックでは、カウンセリングを最も大切にしています。
現在お困りのことや、これまでの治療歴、治療に対するご希望をお聞きします。些細なことでも気軽にお話しください。 -

検査
まずは現在のお口の状態を把握するため、各種検査を行います。綿密なカウンセリングと検査により治療前のお口を正しく調査することで、疾患の原因追求と適切な治療計画の立案に役立ちます。
実際の検査内容
-

- レントゲン撮影
- まずはじめにお口全体の状態を把握するために、パノラマレントゲンを撮影します。
-

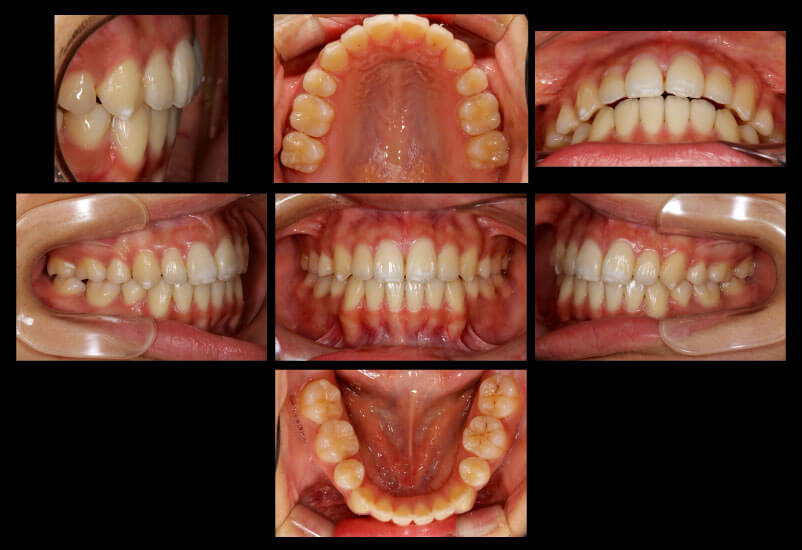
- 口腔内撮影
- 術前の状態の記録や、治療計画の作成・説明のため、お口の写真を撮影します。
-

- 歯周病検査
- プラークの付着状況、歯ぐきの出血、歯周ポケットの深さ、歯の動揺度をチェックします。
口腔内写真の
撮影にご協力ください
玉野市の歯医者 竹北歯科・矯正歯科クリニックでは、より良い治療のために口腔内写真を撮影させていただいております。
口腔内写真が必要な理由としては、以下のような事が上げられます。口腔内写真を撮るメリット
-
「目で見る」から
分かりやすい実際に目で見ることで、ご自身の口腔内や治療部位の状態をしっかり把握できます。写真を見ながらの治療説明で、より理解を深められます。
-
長期的な管理に
役立つレントゲンでは写せない歯や歯肉の状態が鮮明に記録に残せるため、かかりつけ医として、一人ひとりに適した長期的なアドバイスを行えます。
-
綿密な治療計画に
役立つ患者さんが医院におられない時間も、歯科医師、歯科衛生士は口腔内写真を見ることで、よりお口の中への理解や分析を深める事ができます。
-
補綴物の質を
高められる入れ歯や被せ物を作成する際などに、歯科技工士に歯の形状や色調をより正確に伝えることができます。
万一、写真撮影に抵抗のある方は遠慮なくお申し出ください。
-
-

診査(+応急処置)
歯科医師が痛みの原因や、治療が必要な部位の特定を行います。
ここまでの診査資料を元に次回のご来院時に一人一人に合わせた「治療計画書」を作成してお渡しします。(歯の状態、症状に合わせて初診時の治療内容・順序は変更することがあります。)*痛みや腫れのある緊急時には、応急処置をいたします

診断+治療計画立案
ご来院の全ての方に対し、院長・勤務医・担当歯科衛生士が初診時の資料を元にディスカッションを行い、患者さんが次回来院されるまでの間に治療計画を立案しています。それぞれの分野の意見を取り入れることで、適切な治療法を導き出します。
3回目
-

治療計画のご説明・
初期治療これからの治療計画の説明と相談をします。
この治療計画は、完全に理想的なものだけではなく、ましては画一的なものではなく、ご来院の方々1人1人のライフスタイルに合わせた、オーダーメイド治療となるよう、何通りかご提示出来るようにいたします。それぞれの治療法のメリット・デメリットについて充分に話を聞き、ご理解いただいた上で、一番納得できる治療法をお選びください。
治療のご説明と併せて、お口全体のクリーニング(スケーリング)を行い歯ぐきの状態を整えていきます。実際の検査内容
-
2回目- 治療計画のご説明(セカンドコンサル)
- 問診や検査結果から、お口の現状・その原因・治療計画を説明し、最善のゴールと道筋を一緒に定めます。
-
3回目- 治療の選択肢や
治療費のご説明(サードコンサル) - 使用する材料や治療法の違い、メリット・デメリットについて丁寧にご説明します。
- 治療の選択肢や

- 歯周基本治療(クリーニング)
- 古い細菌の塊や歯石がついていたり歯周病がひどい状態では、どんなに良い治療も長持ちさせることは困難です。
本格的な治療に入る前に、歯石取り等のクリーニングによる「歯周初期治療」やセルフケア指導を行って口腔環境を整えます。

「エアーフロー」による徹底クリーニングも
微粒子のパウダーをジェット水流で吹き付けることで歯に付着した頑固なバイオフィルムまで除去する「エアーフロー」でのクリーニングも可能です。
-


